La deglución atípica
Antes de centrarnos en el tema de la deglución atípica, vamos hacer alusión de forma sencilla, a algunos conceptos que nos parecen de interés para poder abordar mejor el tema de la deglución atípica.
El sistema estomatognático
El sistema estomatognático es el conjunto de órganos que posibilitan comer, masticar, deglutir, succionar, respirar, hablar, besar, etc. Las alteraciones en una o en más de estas funciones van a originar desequilibrios en el sistema estomatognático y en común en la oclusión dentaria.
La deglución forma parte de las funciones del sistema estomatognático y una alteración en su mecanismo compromete la funcionalidad de sus componentes como son la laringe, la mandíbula, la lengua, el paladar, los dientes y los labios.
En la deglución todos los músculos implicados con la cavidad oral participan. Cuando esta correlación se rompe puede producir diferentes alteraciones en el proceso deglutorio y así aparece la deglución atípica, con interposición lingual o labial.
A continuación os dejamos un video del sistema estomatognático en el que una parte, es muy ilustrativa y práctica, y la otra parte es más teórica para aquellas personas que estén interesadas.
Definición de oclusión dental
Una oclusión dental correcta es la que los dientes del maxilar superior contactan con los dientes del maxilar inferior de una manera equilibrada, permitiendo por un lado, que las funciones masticatoria, articulatoria, fonadora y respiratoria se realicen de forma correcta, y por otro lado, proporciona a la cara un aspecto armónico; si esta relación no se da se originan maloclusiones.
El complejo maxilofacial está formado de tres sistemas el sistema esquelético, el sistema muscular y el sistema dentario. Si no hay dificultad en el desarrollo de estos sistemas existe una oclusión funcional armónica.
Los malos hábitos orales pueden influir en el desarrollo del complejo maxilofacial. La maloclusión puede existir en la edad infantil. No obstante la maloclusión puede ser consecuencia de otros factores que no son atribuidos a los malos hábitos orales, como es el caso de las anomalías congénitas (labio leporino, fisura palatina), las anomalías cromosómicas (Síndrome de Down), y Parálisis Cerebral Infantil que puede provocar deformaciones en los arcos dentarios.
El abordaje temprano para conservar la oclusión dentaria normal implica la actuación de un equipo multidisciplinario: odontólogo, pediatra, logopeda, otorrinolaringólogo y psicólogo, que son los responsables de tratar las causas que influyen indirectamente o directamente en el complejo maxilofacial.
La deglución
La deglución es una actividad neuronal compleja en la que intervienen músculos de la respiración y del aparato gastrointestinal. La deglución consta de cuatro fases fundamentales fase oral-preparatoria, fase oral, fase faríngea y fase esofágica, y sus funciones son el transporte del bolo alimenticio y la limpieza del tracto respiratorio.
En la acción deglutoria hay una correlación específica entre el sistema respiratorio, deglutorio y fonatorio.
Deglución infantil o visceral
Es la que se da desde el nacimiento hasta los tres años de edad aproximadamente. En la deglución infantil normal la lengua descansa entre las almohadillas gingivales. Durante los primeros años de vida del niño la deglución es distinta a la que hay en la edad adulta.
Como norma general los niños cambian su forma de deglutir entre los dos y tres años aproximadamente adquiriendo así el patrón de deglución correcto.
Deglución adulta, madura o somática
Se va instaurando gradualmente a causa de la aparición de la dentición, al menor tamaño proporcional de la lengua en relación con la cavidad bucal, a la maduración neuro-muscular y al cambio de la alimentación al iniciar la toma de alimentos sólidos.
Características
- En el momento de la deglución los dientes superiores e inferiores permanecen juntos.
- La mandíbula permanece estable.
- No hay acción contráctil a nivel de los músculos peribucales, es decir, la acción de deglutir no se observa en la expresión facial.
- La punta de la lengua se posiciona contra el paladar, detrás de los incisivos superiores.
- La deglución se hace en oclusión contracción mínima de los labios.
En la deglución normal no existe protrusión lingual, ni postura adelantada de la lengua.
Deglución atípica y sus consecuencias

Cuando la deglución no sigue los patrones normales y equilibrados, estamos ante una deglución atípica o disfuncional. La deglución atípica existe cuando la lengua, los labios o la musculatura peribucal actúan presionando los dientes en una u otra dirección. De este modo, nos encontramos con diferentes formas: deglución con interposición lingual entre los dientes, con empuje sobre incisivos inferiores o superiores, deglución con interposición del labio inferior, con succión labial y con contracción peribucal. Las más frecuentes son la deglución con interposición lingual entre los incisivos, que originan mordidas abiertas anteriores, y la deglución con interposición del labio inferior contra los incisivos inferiores, relacionada con la clase II a este nivel.
La deglución atípica no es un trastorno exclusivo de la edad infantil, también puede verse en la edad adulta.
Deglución atípica con interposición labial
Se caracteriza porque en el momento de deglutir, los dientes no contactan. La lengua se posiciona entre los incisivos, pudiendo en ocasiones interponerse entre los molares y premorales. Se observa también contracción de los labios y de las de las comisuras labiales, lo que origina un estrechamiento de la arcada dentaria, y del músculo mentoniano. No hay contracción de los músculos elevadores de la mandíbula, no tienen contracción.
La interposición lingual se da en situación de reposo y en las funciones de deglución y fonoarticulatorias.
Deglución con presión atípica del labio inferior o con interposición del labio inferior contra los incisivos inferiores.
En el momento de deglutir el sellado de la parte anterior de la cavidad bucal no se hace por el contacto simple del labio superior con el inferior, sino por medio de una fuerte contracción del labio inferior que se interpone entre los incisivos superiores e inferiores. Se presenta en los casos de extremo overjert (distancia horizontal existente entre los incisivos superiores e inferiores cuando los dientes están en oclusión).
Características

A lo largo de nuestra experiencia, en el tratamiento de la deglución atípica hemos podido observar, que las disfunciones de la deglución suelen darse de forma mixta o combinada, es decir, los movimientos incorrectos de la lengua ya sean estos con interposición en la zona anterior (incisivos), o entre los sectores laterales (molares), en el momento de la deglución suelen ir acompañados de contracciones peribucales y/o de succión labial.
En los pacientes con deglución atípica es habitual observar características comunes a nivel anatómico-funcional, a nivel deglutorio y a nivel de dificultades en el habla.
Características anatómico-funcionales
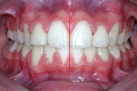
- Mordidas abiertas anteriores con protrusión de los incisivos.
- Labio superior hipotónico y corto.
- Labio inferior y músculo del mentón hipertónico.
- sobremordida vertical.
- Apiñamiento dentario. Incisivos superiores muy adelantados respecto a los inferiores.
- Paladar profundo, estrechez maxilar, forma de la arcada triangular.
- Falta de sellado labial.
- Respiración oral.
Características deglutorias
- Dificultad para realizar los movimientos deglutorios de delante hacia atrás.
- El bolo alimenticio se forma contra los incisivos.
- Masticación en la zona anterior de la boca y lugar de con los molares.
- Maseteros débiles.
- Presencia de restos de alimentos y saliva en los labios por falta de sellado labial.
- Participación de la mímica compensatoria: movimiento de cuello y de cabeza.
- Ruidos y muecas durante la deglución.
Características del habla
Es habitual la presencia de dislalias, es decir, dificultades articulatorias. Los movimientos y la posición de la lengua están alterados, lo que puede ocasionar alteraciones de los fonemas /s/, /rr/, /ch/, /l/, /K/, /z/, igualmente se puede observar problemas de nasalización. La correcta anatomía del paladar, así, como la colocación de los dientes son requisitos básicos para una adecuada producción del habla.
Es fundamental la detección temprana de los factores ambientales que hacen vulnerables a los niños a que presenten una maloclusión.
Causas
La deglución atípica es un trastorno se puede dar de forma aislada o puede formar parte de otras alteraciones más complejas que comprometen a otras funciones orarles.
Las causas de la deglución responden a diversos factores.
- Malos hábitos orales: como la respiración oral, succión del digital, el uso del chupete y el biberón más allá de la edad recomendada por los especialistas.
- Dieta inadecuada: que no favorezca los movimientos de masticación, la malnutrición.
- Hipertrofia adenoidea.
- Frenillo lingual.
- Factores hereditarios: como el prognatismo.
- Malformaciones faciales y/o craneofaciales de origen congénito: como el labio leporino y fisura palatina.
- Alteraciones genéticas: como el Síndrome de Down.
- Lesiones adquiridas: como después de una cirugía maxilofacial de cabeza o cuello y por accidentes.
- Patologías de causa neurológica o central: como Parálisis Cerebral Infantil y Parálisis facial.
En la práctica clínica se puede observar que algunas veces, la malaoclusión dental ocasiona deglución atípica y que otra veces, la deglución atípica puede ser el origen de la maloclusión dental.
Prevención
- Estimular la lactancia materna, garantiza el crecimiento armónico de los maxilares.
- Si la alimentación tiene que ser con el biberón, los padres deben se ser asesorados sobre la tetina más idónea y de la posición en que deben de dar la toma a su niño (estos factores son de gran importancia).
- Reemplazar el biberón por un vaso antes de los dos años de edad.
- No utilizar el chupete después de la edad recomendada.
- Evitar los hábitos orales perniciosos.
- Llevar al niño al odontólogo a los dos años de edad.
- Instaurar una respiración nasal. Asegurándose de que no hay causa orgánica que lo impida.
Partiendo del dato que a los 4 años de edad el esqueleto craneofacial del niño alcanza el 60% del tamaño del adulto. Es de vital importancia que tanto los padres, como los profesionales de la salud, actuemos para evitar los hábitos perniciosos que pueda presentar el niño para evitar que generen daños en el sistema estogmatogmático.
La prevención debe empezar desde el momento en que el niño nace, esperar a que se establezca una alteración no es prevenir, es intervenir.
Tratamiento
El tratamiento reeducador para la deglución atípica generalmente es una combinación del logopeda y el ortodoncista. El ontordocista actúa sobre la estructura anatómica corrigendo la mordida. El logopeda se encargara de rehabilitar la deglución atípica, por medio de la terapia miofuncional.
La Terapia Miofuncional (TMF) es el conjunto de procedimientos y técnicas, que tiene como objetivo conseguir un equilibrio muscular orofacial para realizar adecuadamente patrones neuromusculares.
Implica el trabajo multidisciplinar con otros profesionales
En los pacientes con deglución atípica la finalidad de la terapia miofuncional se centra en los siguientes objetivos:
- Restituir el equilibrio muscular orofacial perdido reeducando patrones musculares correctos.
- Modificación del patrón deglutorio incorrecto instaurando nuevos comportamientos.
- Corrección de los malos hábitos orales.
- Establecer hábitos correctos como puede ser una adecuada postura, respiración y deglución.
- Si existe trastorno de la articulación se trabajaran para conseguir una adecuada articulación.
El logopeda es el profesional sanitario cualificado para tratar los trastornos de la deglución tanto en niños como en adultos.
A continuación os dejamos video muy interesante sobre deglución atípica, dislalias, paladar ojival, y los profesionales implicados en el tratamiento de estas alteraciones. ¡Esperamos que os guste!
El logopeda (titulación que cambia en otros paises por el fonoaudiologo)
En el próximo artículo os hablaremos de la Terapia Miofuncinal.
Leave A Comment